부산대치과병원 옥수민 교수 연구팀이 Candida albicans(칸디다 알비칸스) 감염이 TRPV1 이온 채널을 통해 구강 작열감 증상을 유발하는 메커니즘을 규명했다.
이번 연구는 치의학 분야 세계 상위(Q1) 저널인 ‘Journal of Dental Sciences’에 게재되었다. 옥 교수 연구팀은 구강 작열감 증상의 원인을 밝히고 새로운 치료법 개발 가능성을 제시했다.
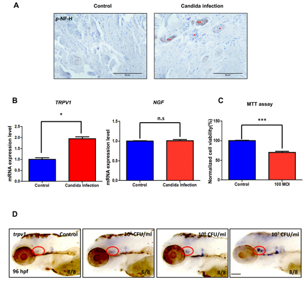
연구팀은 임상 환자 데이터, 마우스 모델, 제브라피쉬 모델을 이용하여 Candida albicans 감염과 TRPV1의 상관관계를 분석했다. 연구결과 감염 환자들은 TRPV1 발현 증가로 인해 신경 염증과 통증이 심화되었고, 항진균제(나이스타틴) 치료 후 증상이 개선됐다.
또한 감염된 마우스와 제브라피쉬에서도 TRPV1 발현 증가와 신경손상도 관찰됐다.
옥수민 교수는 "이번 연구로 Candida albicans 감염이 TRPV1을 활성화하여 구강 작열감 증상을 유발한다는 사실을 처음으로 밝혀냈다"며 "이를 통해 TRPV1을 표적으로 하는 새로운 치료법이 감염성 구강통증을 효과적으로 완화할 수 있을 것"이라고 말했다.
한편 이번 연구는 구강 작열감 증상의 분자적 기전을 규명하고 새로운 치료전략을 제시했다는 점에서 높은 학문적 가치를 평가받고 있다. 또 향후 TRPV1 차단제를 활용한 치료법 개발도 기대된다.
서양권 기자
gideon300@dentalfocus.co.kr
