사랑니는 통증 때문에 존재를 알게 되고 나서야 발치하는 경우가 많다. 통상 일반인들에게 사랑니를 빼는 과정은 복잡하고 무섭고 아픈 과정으로 인식돼 있다.
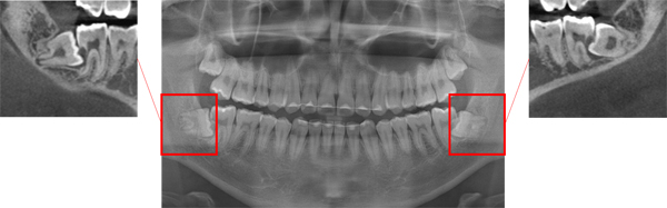
사랑니는 보통 10대 후반에서 20대 초반에 구강 내에서 가장 늦게 맹출(치아가 기능하는 정상적인 위치까지 이동하는 것)한다. 사랑니는 맹출 공간이 부족하고 최후방에 위치하기 때문에 바르게 자라나지 못하는 경우가 많다.
또한 증상이 없으면 존재 자체를 모르는 경우가 많은데 비스듬하거나 수평 방향으로 맹출해 인접치의 치아 우식이나 치주염 등을 일으키기도 한다.
나아가 치관주위염(치아 머리 주변으로 염증이 생기는 것)의 원인이 되기도 한다. 치관주위염은 사랑니 주변의 부기와 통증 및 개구 장애(입이 벌어지지 않는 증상)를 유발할 수 있다.
사랑니로 인해 인접치의 손상이 있거나 우려되는 경우, 치관주위염이 발생한 경우, 낭종(물혹)이나 종양이 발생한 경우에는 발치를 해야 한다.
발치 후 통증은 불가피하게 나타날 수 있으며, 증상의 정도는 보통 발치 당일 가장 심한 편이다.
따라서 발치 후 마취가 풀리기 전에 처방받은 약을 복용하되, 그래도 통증이 심한 경우에는 담당 치과의사와 상의해 추가적인 진통소염제 복용을 고려할 수 있다.
대부분의 사랑니 발치는 국소 마취 하에 이뤄진다. 하지만 환자의 시술에 대한 두려움이나 시술 중 통증 조절, 매복 깊이 및 발치 난이도에 따라서 부가적인 마취 방법을 고려할 수 있다.
첫 번째는 의식이 있는 상태로 진행되는 ‘의식하 진정 마취’다. 진정 마취는 보통 ▲사랑니의 매복 깊이가 깊을 때 ▲환자가 시술에 대한 공포심이 클 때 ▲난이도가 높고 통증이 예상될 때 시행하게 된다. 진정 마취는 국소 마취보다 시술 시간을 길게 가져갈 수 있기에 한 번에 많은 치료를 원하는 경우에도 적용할 수 있다.
두 번째는 전신마취 하에 사랑니 발치를 진행하는 것이다. 전신 마취는 ▲환자가 수술에 대한 공포심이 크거나 ▲치아의 매복 깊이가 깊거나 ▲낭종, 종양 등이 동반된 경우에 고려할 수 있다.
사랑니는 비정상적인 맹출로 관리가 어렵고, 실제 기능을 하지 않는 경우가 많아 인접 치아의 관리를 위해 발치가 필요한 경우가 많다.
매복된 사랑니 중에서는 낭종이나 양성 종양과 연관된 경우도 있어 예방적인 차원에서 제거를 고려한다.
무엇보다 사랑니로 인한 증상과 통증이 없다고 해서 문제가 없는 것이 아니므로, 주기적인 검진과 함께 구강악안면외과 전문의와의 상담이 꼭 필요하다.
서울대치과병원 구강악안면외과 서미현 교수
