신종우 (공학박사, 치과기공기재학회장, 신흥대학 교수)
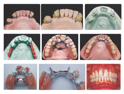
Clasp를 이용하여 국소의치를 제작할 때 경우에 따라서는 문제점이 적을 수는 있지만 나이가 많은 노인에게나 지대치 상태가 좋지 않은 경우에 적용시켜주었을 경우에는 교합압이 지대치에 무리하게 가해져 지대치에 손상 등을 줄 수 있으며, 심미적으로도 문제가 될 수 있다. 그 대안으로 어태치먼트를 이용한 국소의치 제작이 날로 증가하고 있는 실정으로 대부분 치관내나 치관외 어태치먼트를 이용한 국소의치로 해결하고 있는 실정이다. Arch-Friction-Soft를 이용한 Mill-in Crowns denture는 primary part 제작 시 파지암(bracing part)만 형성하여 도재관을 제작한 다음 clasp를 제외한 metal framework을 주조하여 덴쳐를 간단하게 얻어내는 방법이다. Mill-in Crowns denture는 장착 후 장기적인 탈착으로 인한 유지력 저하가 발생될 때에는 탄성력이 각각 다른 6개의 칼라의 Arch-Friction-Soft(특수 나일론)로 공구 없이 간단하게 교체하여 적정 유지력으로 이용할 수 있기 때문에 보철물의 수명을 장기적으로 연장할 수 있는 시스템이라고 할 수 있다(그림 1).

Mill-in Crowns denture 제작과정을 살펴보면 첫째, Primary part(도재관) 제작 후 DUR-friction-intra(황색)를 지대치관 높이에 맞게 절단 한 후 원심면에 부착한다. 둘째, 복제과정을 통해 내화성 모형을 제작한 다음 납형을 waxing-up하고 metal framework으로 주조한다. 셋째, 통법에 따라 덴쳐를 제작한 다음 metal framework 내면에 적정 유지력에 맞는 Arch-Friction-Soft(청색)를 선택하여 끼워 잘라내고 마무리한다(그림 2).

